Dental Implants in San Jose, CA
The best Permanent tooth replacement solution

You Deserve a Complete, Confident Smile
There’s a certain way people with a missing tooth adjust their lives around it. They chew on the other side, pass on certain foods, hold their smile back in photos. What most don’t realize is that the longer a missing tooth goes unreplaced, the more the surrounding teeth shift, the jawbone begins to shrink, and what started as one missing tooth can cause more teeth to deteriorate over time.
Dental implants are the one tooth replacement option that addresses all of it. They look and feel virtually identical to a natural tooth, so you can smile with confidence, eat whatever you want, and with proper care, keep your tooth and jaw health strong for a lifetime.
At Beveridge Dental in San Jose, we place and restore dental implants from start to finish. No multiple trips to multiple dentists, no repeating yourself to a new provider at every stage. With nearly 60 years serving the San Jose community, Beveridge Dental and our team of implant dentists are here to understand your situation and build a plan around it. Schedule your FREE dental implant consultation in San Jose and begin your journey to your best smile yet!
FREE Consultation for Dental Implants
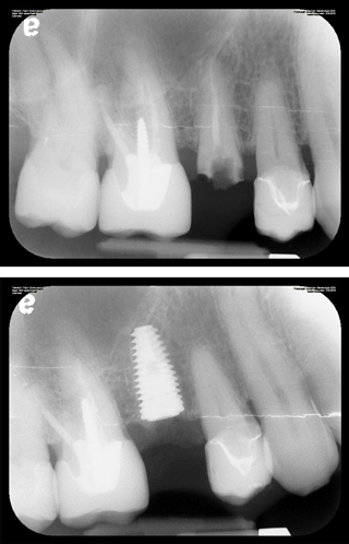
What is a Dental Implant?
A dental implant is a tooth replacement solution made up of three parts: a small titanium screw carefully placed into the jawbone, an abutment that connects to it above the gumline, and a custom dental crown on top that looks and functions like a natural tooth. Once the implant fuses with the bone through a natural process called osseointegration, it creates a stable, permanent foundation for a custom crown, bridge, or denture on top.
The result is a tooth replacement that looks, feels, and functions like a natural tooth. You brush it, floss around it, and bite into food with it the same way you would with your own teeth. There are no adhesives, no removable parts, and nothing to take out at night. Most patients say it quickly stops feeling like a replacement and just feels like a tooth.
Why Implants Are the Gold Standard for Replacing Missing Teeth in San Jose
When a tooth is lost, the bone that used to surround its root no longer has a reason to stay. Without stimulation from chewing forces, the jaw begins to resorb, meaning it gradually shrinks. This is what causes the sunken facial appearance that many long-term denture wearers develop over time. It’s also why neighboring teeth drift and tilt into the empty space, changing the bite and often creating new problems.
A dental implant is the only replacement option that puts something back into the bone. The titanium post stimulates the jaw the same way a natural root does, which halts bone loss and keeps the surrounding teeth stable. Bridges and dentures sit on top of the gum and do nothing to address what’s happening underneath.
Our Dental Implant Options
The Dental Implant Process at Beveridge Dental
Implants are a multi-step process, and the timeline varies from patient to patient depending on bone density, how many implants are being placed, and whether any prep work like a bone graft or tooth extraction is needed first. Here’s what the typical dental implant process looks like:
Why Choose Beveridge Dental
For Dental Implants in San Jose?
50+ Years Serving San Jose
The Beveridge family has served San Jose for three generations, delivering exceptional dental care and treating patients like family.
Education & Training
Our dentists are dedicated to continuous education, allowing us to plan and place dental implants using the newest and greatest techniques.
One-Stop-Shop
We place the whole implant in our office, so you don’t need to go to multiple dentists to get your complete implant. We also handle your cleanings and checkups.
Sedation Available
If anxiety is holding you back, we offer sedation options such as laughing gas to help you feel calm and relaxed for the entirety of your dental implant procedure.
Dental Implant FAQs
Get Expert-Placed Teeth Implants in San Jose
Beveridge Dental is located in San Jose and sees implant patients from throughout the South Bay, including Los Gatos, Saratoga, Almaden Valley, Campbell, Blossom Hill, and Willow Glen. If you’ve been living with a missing tooth or are dealing with a failing tooth that needs to come out, we’d encourage you to come in for a consultation and find out what your options are.
















